- Trang chủ
- Thông tin kỹ thuật
- Nuôi tôm thẻ chân trắng
Nuôi tôm thẻ chân trắng

Ninh Thuận: Ổn định vùng sản xuất tôm giống đến năm 2020
Thg3 11, 2016 - Lượt xem: 2785
(Thủy sản Việt Nam) - Sở NN&PTNT Ninh Thuận cho biết, đến năm 2020, Ninh Thuận sẽ tập trung ổn định hoạt động tại vùng sản xuất giống chất lượng cao và kiểm định giống thủy sản tập trung Nhơn...

Phòng tránh bệnh cong thân và đục cơ trên tôm thẻ chân trắng
Thg3 11, 2016 - Lượt xem: 2287
Trong nuôi thủy sản hiện nay, bệnh cong thân và đục cơ trên tôm nuôi (đặc biệt là tôm thẻ chân trắng) thường xảy ra, nhiều nhất ở những ao có độ mặn thấp và nuôi với mật độ dày.

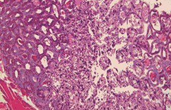
Tác nhân gây bệnh hoại tử gan tụy cấp tính đã được nhận diện
Thg3 11, 2016 - Lượt xem: 1546
Theo thông tin báo cáo từ trang web: AquaticHealth.net thì tác nhân gây bệnh hoại tử gan tụy cấp tính ở tôm đã được nhận diện là Vibrio parahaemolyticus bị chèn phage. Nguồn thông tin khác từ GAA (Global...

Các trường hợp “Bệnh đốm trắng” trên Tôm nuôi
Thg3 11, 2016 - Lượt xem: 3460
Vào giai đoạn giao mùa như hiện nay, tôm nuôi bắt đầu bước vào giai đoạn xuất hiện bệnh đốm trắng. Khác với bệnh hoại tử gan tụy cấp AHPND xảy ra tập trung vào mùa nắng nóng, bệnh đốm...

Bệnh vi bào tử trùng trên Tôm Thẻ Chân Trắng
Thg3 11, 2016 - Lượt xem: 2292
Kể từ khi Cục thủy sản (Department of Fisheries) – thuộc Bộ Nông Nghiệp Thái Lan (Ministry of Agriculture and Cooperatives) cho phép nhập khẩu tôm chân trắng để nuôi thương phẩm vào năm 2012, sản lượng tôm chân trắng nuôi...

Nhu cầu Lipid của Tôm Thẻ Chân Trắng
Thg3 11, 2016 - Lượt xem: 1899
Phospholipid và cholesterol là hai chất béo thiết yếu cho tôm he (penaeid - bao gồm tôm thẻ chân trắng và tôm sú). Mặc dù, tôm thẻ chân trắng góp phần quan trọng trong ngành công nghiệp nuôi tôm, nhưng các...

Ngành Tôm và những bất ổn
Thg3 11, 2016 - Lượt xem: 1311
Sau thành công lớn từ những tháng cuối năm, đặc biệt là với TTCT, năm nay, nhu cầu tôm giống tăng lên đột biến. Tuy nhiên, số lượng lại không đi với chất lượng. Khi vẫn còn tình trạngmột số...

Kể từ ngày 01/02/2015, nuôi Tôm nước lợ (Tôm Sú và Tôm Chân Trắng) phải đáp ứng các điều kiện theo QCVN 02 - 19 : 2014/BNNPTNT
Thg3 11, 2016 - Lượt xem: 4837
Ngày 29/7/2014, Bộ Nông nghiệp và PTNT đã ban hành Thông tư số 22/2014/TT-BNNPTNT “Quy chuẩn kỹ thuật Quốc gia về điều kiện nuôi thủy sản”, trong đó quy định về Cơ sở nuôi tôm...

Mối liên hệ giữa sức khỏe Tôm và biến động quần thể phytoplankton trong các ao nuôi Tôm Thẻ Chân Trắng (Litopenaeus vannamei) thâm canh
Thg3 11, 2016 - Lượt xem: 2514
Hiện nay, diện tích nuôi và sản lượng tôm thẻ chân trắng (tôm TCT) không ngừng được tăng lên ở nước ta và tập trung chủ yếu ở Đồng bằng sông Cửu Long (ĐBSCL) (chiếm khoảng 94 % diện tích của...

Cảnh báo về sự bùng phát của bệnh do vi bào tử trùng (Microsporidian) trên Tôm
Thg3 11, 2016 - Lượt xem: 3714
Enterocytozoon hepatopenaei Vi bào tử trùng Enterocytozoon hepatopenaei (EHP) lần đầu tiên được mô tả và ghi nhận trên tôm sú ở Thái Lan vào năm 2009. EHP được phát hiện trên những con tôm chậm lớn. EHP thường được...
Thông tin kỹ thuật

SIÊU PHẨM TÔM BỐ MẸ SUPER VỀ HÙNG TÚ ✨
Thg8 30, 2025 Lượt xem: 11120
Giải pháp cho hiện tượng tôm rớt đáy không rõ nguyên nhân
Thg6 09, 2025 Lượt xem: 25819
Biện pháp kiểm soát khí độc Nitrite (NO2) trong mô hình nuôi tôm TLSS-547
Thg5 20, 2025 Lượt xem: 6273
HÙNG TÚ NHẬP LÔ TÔM BỐ MẸ MỚI 25.04.2025
Thg5 02, 2025 Lượt xem: 10891